The arthrosis of the knee joint (gonartrosis) is a degenerative disease in which the cartilage is thinner.According to statistics, every fifth resident of the planet suffers from this pathology.This article will consider the main causes of arthrosis, its symptoms at each stage, as well as methods of diagnosis and treatment.
Causes
Every day, the knee joints experience a large load when walking.After all, they have to withstand the mass of the whole body.As a result of this, there is a gradual wear of cartilage tissue, which is the cause of pathological changes in the knees.
The risk group includes people:
- elderly,
- suffering from overweight,
- having osteoporosis and metabolic disorders,
- have ever received a knee joint injury,
- representing certain professions,
- suffering from microelements deficiency,
- engaged in heavy sports.

In most people aged 40 years, the presence of arthrosis in the second or later stage of development can be found.
The main symptoms
Of course, changes in cartilage tissue cannot take place without symptoms.With a disease, a person can complain about:
- a feeling of discomfort in the knees after waking up or long -term in a sitting position,
- Pain in the legs after a long standing position,
- a burning sensation when climbing the mountain and up the stairs,
- Weakness in the legs after a slight load, as well as at the end of the day.
- Some patients are concerned even at night, during sleep.
Important!The disease does not occur sharply, it develops over the years.Pain at the first stages can be insignificant, but over time there is a persistent increase.
Arthrosis of the knee joint 1 degree
At this stage, gonarthrosis is just beginning its development, therefore, for a person, the process proceeds almost asymptomatic.However, some signs can still be seen.
A person often begins to feel fatigue in the legs, note a slight decrease in the mobility of one or two knee joints.This phenomenon is especially characteristic in the morning, in the first minutes after awakening.
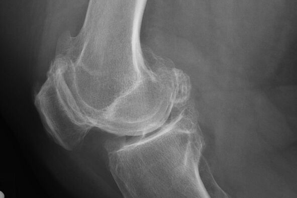
As a rule, the diagnosis of the disease at this stage occurs by accident, during an X -ray.On it, the doctor may note some irregularities on cartilage.It is also possible to narrow the lumen between the parts of the joint.
Arthrosis of the knee joint 2 degrees
The pathology of the knee joint begins to appear more pronounced.The appearance of pain syndrome is characteristic, which is provoked by any additional load on the joint.
REFERENCE.At this stage, the pain passes independently, after a long rest.
In addition, during the second stage, symptoms such as:
- Cryst with certain movements.It can be observed both in one and in both knees.The crunch can be barely noticeable, but gradually it acquires a rough, loud and very distinct character.
- Reducing the ability to completely bend the leg in the knee.Some people can only do this to a corner of 90 degrees, then an unpleasant sensation appears, and they are forced to stop.
- Some patients with gonartrosis of the 2nd stage begin to complain about the appearance of a sharp pain that occurs when the knee joint is bent.
- It is possible to change the shape of the knee joint, it becomes wider, swells.This is due to the accumulation of pathological fluid.

If discomfort is detected in the knee area, you must consult a doctor so that he prescribes the right treatment.
Arthrosis of the knee joint 3 degrees
- At this stage, at the joint of the joint, very strong structural cartilage changes are observed.Growths that have large size appear on it.
- The curvature of the affected leg is noted.It acquires a 0-shaped or X-shaped bend, which becomes a serious obstacle to the full life of the patient.As a result, a person can become a disabled person.
- A characteristic phenomenon of the 3rd stage of the disease is severe pain, which can be observed constantly, intensifying after any, even slight load.
- A person notices the sensitivity of the joint to changes in the weather.Now that the cyclone is approaching, the knee is aching, pulling sensations arise in it.

With age, the joints begin to respond to changes in weather and pressure.
Arthrosis of the knee joint 4 degrees
It is an extreme, final stage of the disease, in which the gap between the bones is completely absent.
REFERENCE.Most orthopedists attribute the fourth stage to the third.This is due to the similarity of the symptoms and the complexity of timely diagnosis.
Since the absence of a gap is observed, the movement of the joint is simply impossible.
In addition, the patient is tormented by unbearable, constant pain, which is relieved only by severe painkillers.But after a time when the action of a tablet or injection stops, an unpleasant symptom appears again.
Diagnostics
An examination of the patient begins with his request for help to a specialist.They may be a therapist or orthopedist.
The doctor listens to complaints, collects an anamnesis, conducts an examination.First of all, he will be interested in external changes in the joint, the limitation of mobility in its area.

X -ray will help identify deviations in cartilage.
When probing, the patient complains about the appearance of unpleasant sensations, and with a shine of the knee cup, a crunch becomes heard.
Important!A diagnosis is not possible after one visual examination of the doctor, even in the presence of all signs of the disease.Only a comprehensive examination allows you to give an accurate answer about the pathology flowing in the knee.
After the examination, the doctor prescribes the patient radiography.This is the main method of diagnosing arthrosis of the knee joint of any degree.
X -ray gives the doctor an idea of the changes occurring in the cartilage of the joint.However, in some cases, the initial stage may not be defined in the picture.
If necessary, the doctor may prescribe a repeated passage of an X-ray or computed and magnetic resonance tomography.
Treatment
When diagnosing gonarthrosis, immediate treatment should begin.This will help stop the progression of pathology, preventing many complications.
Therapy of the disease pursues several goals at once.Namely:
- elimination of pain syndrome,
- decrease in the severity of other symptoms,
- the maximum possible restoration of the affected cartilage and ligaments of the joint,
- An increase in the mobility of the limb.
The treatment of the disease includes methods such as:
- Drug therapy,
- massage, osteopathy, manual therapy,
- Surgical intervention,
- medical and preventive physical education,
- Physiotherapy.
Drug care
REFERENCE.Drug therapy is the main method of treating the disease.However, it is most successful when combined with other methods.
The drugs used for the treatment of gonarthrosis include:
- Nonsteroidal anti -inflammatory drugs- Relieve the patient from pain, relieve inflammation.These drugs are symptomatic agents without affecting the cause of the disease.They fight only with its manifestations, bringing temporary relief.
- Chondroprotectors- Restore cartilage fabric.However, the effect becomes noticeable not immediately.The drugs have cumulative (accumulative) properties, therefore, the body needs time for their full effect.
- Hormonal drugs.They are prescribed, as a rule, with advanced stages of the disease.These funds can quickly relieve swelling and inflammation of the tissues around the joint.The disadvantage of this class of drugs is the systemic effect on the body, in which many undesirable adverse reactions are possible.They are prescribed only in one -time courses, during an exacerbation of the process.
- External drugs, designed to relieve pain.Released in the form of ointment, cream.
- Hyaluronic acid.It is a new solution in the treatment of gonartrosis.It is an intra -articular introduction of a means that nourishes the joint.It has a fairly high efficiency.However, the method is characterized by shortcomings such as: the possibility of use only at the initial stages of the disease and the high cost of the drug.
Important!Introducing drugs into the joint gap is permissible no more than 1 time in 7-10 days.
Massage
Massage, as well as manual and osteopathic treatment are aimed at:
- Elimination of pain,
- overcoming the stiffness of movements in the knees,
- improvement of blood supply at the site of cartilage,
- providing nutrients and oxygen in the area of inflammation.
REFERENCE.Massage and similar procedures should be carried out only by a person who has a special education.Otherwise, you can harm and aggravate the condition of the joint.
Surgical intervention
It is an extreme measure in the treatment of arthrosis, when the disease is extremely neglected and other methods of therapy are powerless.Most often, endoprosthetics is used, in which the affected joint is replaced by an implant.
Prosthetics can be of two types:
- full - the entire joint is replaced,
- Partial - only the most worn part of the articular joint is subject to replacement.
Contraindications to prosthetics are:
- chronic purulent infections;
- neuromuscular disorders;
- vein pathologies;
- A number of cardiovascular diseases.
Another option is the correctioning osteotomy.With this method, a plate is inserted into the joint, reducing pressure on the affected area of the knee.
Exercise therapy
It is a regular and correct implementation of a number of physical exercises aimed at strengthening the joint and restoring its mobility.
This procedure can be performed independently at home, having previously contacted a specialist for advice.
Prevention
Following simple rules will prevent the occurrence or exacerbation of the destruction of cartilage.For this you need:
- Follow diet.This will contribute to body weight control, provide the body with all the necessary vitamins and minerals.
- Adhere to certain sports, abandoning others.The fact is that with gonarthrosis, excessive loads on the knees are extremely undesirable.For this reason, running and jumping is better to replace with bicycle riding, swimming or aquaerobik.
- Regularly perform therapeutic exercises.
- Wear comfortable and orthopedically correct shoes.It is unacceptable to wear studs and high heels, a flat sole, giving preference to shoes with a small heel.
The arthrosis of the knee joint is a fairly common disease that can go unnoticed for a long time.Despite the asymptomatic beginning, gonarthrosis can lead to serious complications, up to disability.Therefore, it is so important to conduct diagnostics in time and begin the necessary treatment.
















































